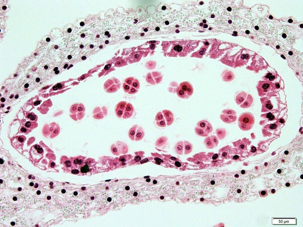
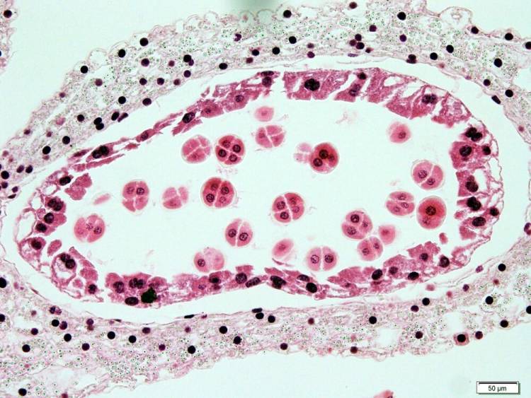
Coupe dans un sac pollinique au stade tétrade, juste après la méiose
Les cellules regroupées par quatre sont le résultat typique d’une méiose. Elles sont contenues dans une paroi de callose, qui est ensuite dégradée et permet à chaque cellule de former indépendamment un grain de pollen.
Le tissu au centre du tapis est constitué de cellules mères de spores qui prolifèrent et s’entourent d’une paroi formée de callose (épaississements en bleu) (ici en prophase de mitose).
L’anthère est formée de deux paires de sacs polliniques à l’intérieur desquels se forment les grains de pollens. À maturité, les sacs polliniques s’ouvrent au niveau de la zone de déhiscence entre chaque paire et libèrent le pollen. L’anthère est portée par le filet, le tout constituant l’étamine.
Les pièces florales forment quatre verticilles, c’est-à-dire quatre cercles concentriques de pièces similaires. Elles s’attachent au réceptacle floral, renflement de l’extrémité du pédoncule floral. Chez le lis, les pièces florales des deux premiers verticilles ne sont pas distinguables morphologiqu...