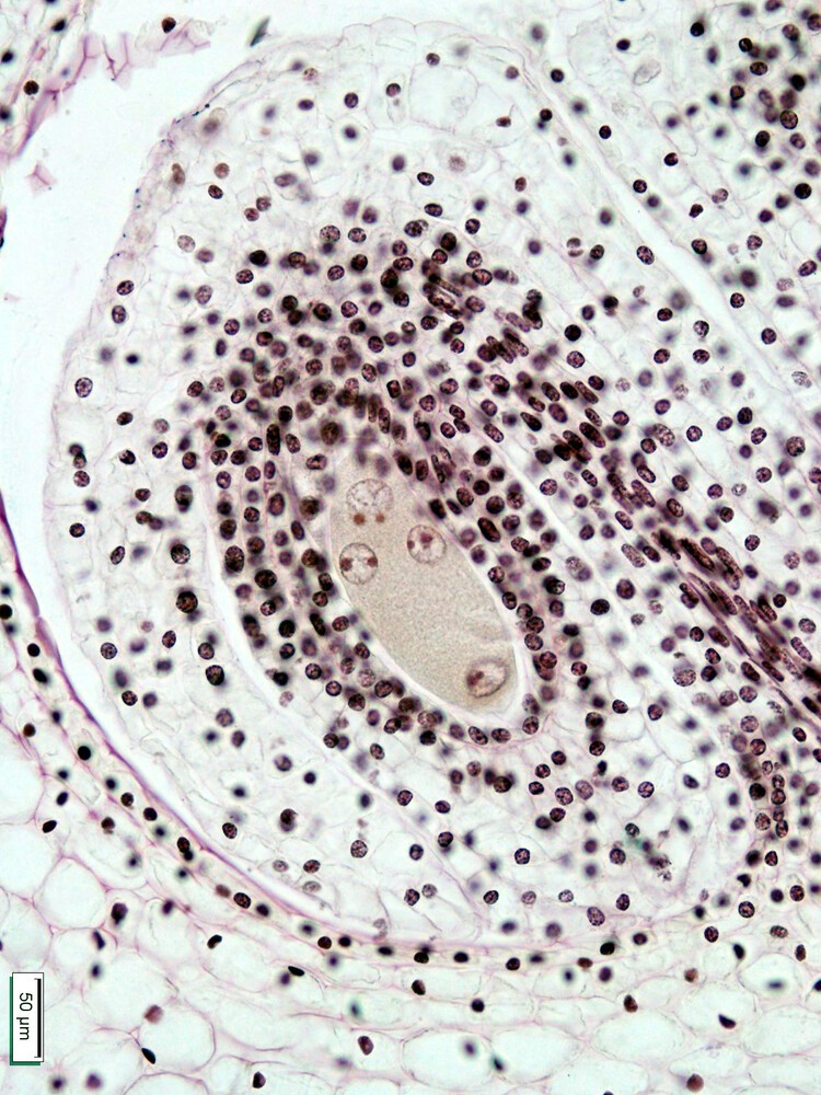
À gauche : coupe à main levée ; à droite : préparation histologique (stade avant méiose, toutes les cellules visibles sont diploïdes et produites par le sporophyte). On distingue bien les deux téguments protecteurs, discontinus au niveau du micropyle, le nucelle (sporange femelle) et la structure qui assure la nutrition de l’ensemble (placenta, funicule).
Coupe d'ovule de lis
Coupe d'ovule de lis
Autres médias
Les ovules sont situés dans les ovaires. Ils sont reliés à la paroi du carpelle par le funicule. L’ovule est constitué, de l’extérieur vers l’intérieur, de deux téguments protecteurs, du nucelle et du sac embryonnaire qui lui-même contient le gamète femelle. Après la double fécondation, l’ovule se t...
On retrouve globalement les structures observées dans l’ovaire de la fleur, dont le volume a considérablement augmenté. Les carpelles forment une enveloppe dans laquelle se développent six rangées de graines. À maturité, des fentes de déhiscence permettront la libération des graines.
Une abeille solitaire du genre Anthophora pollinise une fleur de sauge (genre Salvia, famille des Lamiacées). L’abeille a été attirée par la coloration de la fleur, sa symétrie bilatérale et son odeur. On distingue les étamines « à bascule » qui lui tapotent le dos. Les poils de l’abeille permettent...