Animations permettant de comparer la structure et les organites composant une cellule animale ou une cellule végétale.
Description et avertissement
Ce document est une courte animation montrant les organites présents dans une cellule eucaryote animale, puis présentant les principales différences chez une cellule végétale. Le plug-in Flash 5 est nécessaire à sa lecture. Durée totale des séquences animées : 20 secondes.
Deux animations ont été créées. La première est une version simplifiée dans le but de présenter un document adapté aux besoins des élèves :
- les organites spécifiques aux cellules animales n’ont pas été détaillés. Le centrosome n’est ni mentionné, ni même figuré ;
- la cellule végétale présentée est une cellule chlorophyllienne, située au sein d’un végétal pluricellulaire.
La seconde est une version scientifiquement plus complète de la première. Elle n’est pas limitée par les termes du programme officiel. On y trouve donc en plus les éléments suivants :
- centrosome ;
- cytosquelette ;
- ribosomes libres (sans texte explicatif).
Utilisation pédagogique
Cette courte animation peut être présentée aux élèves lors d’un bilan sur la notion de cellule eucaryote. Les arrêts fréquents lors de l’animation peuvent permettre à l’enseignant de formuler des compléments, de poser des questions aux élèves, etc. Le texte de conclusion ouvre sur la comparaison des métabolismes des cellules animales et végétales.
Le document
Documents à télécharger
Pour Windows
Pour Mac
Pour Windows
Pour Mac
Complément
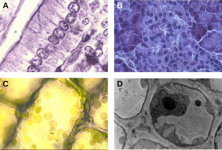
Pour illustrer cette comparaison, on peut présenter quelques exemples de cellules animales et végétales.
Deux types de cellules animales : cellules de l'intestin (A) et du pancréas (B).
Deux types de cellules végétales : cellules de feuille d'élodée du Canada en microscopie photonique (C) et cellules de collenchyme en microscopie électronique à transmission (D).
